The models effectively mimic the inflammatory responses and airway hyperactivity seen in human allergic asthma, making them essential tools for studying disease mechanisms and testing therapeutic drugs.
Model Description
Asthma is a complex chronic inflammatory disease of the airways, characterized by an exaggerated response to various stimuli, leading to airway constriction, inflammation, and remodeling. The pathogenesis of asthma involves multiple immune cells, inflammatory mediators, and neuroendocrine factors, making its treatment and management highly challenging. To better understand the disease mechanisms, explore new therapies, and evaluate drug efficacy, establishing asthma animal models is crucial.
Allergic asthma models are the most common type and typically involve sensitizing animals with allergens (e.g., ovalbumin, house dust mites) combined with adjuvants (e.g., aluminum hydroxide). These models effectively mimic the inflammatory responses and airway hyperactivity seen in human allergic asthma, making them essential tools for studying disease mechanisms and testing therapeutic drugs.
Applications
Modeling Methods
1. Sensitization Phase: Mice are acclimatized before modeling. On days 0, 7, and 14 of modeling, mice receive intraperitoneal injections of 200 μg ovalbumin (OVA) and 4 mg aluminum hydroxide in 0.5 ml saline.
2. Provocation Phase: From days 21 to 28, mice inhale 1.5% OVA aerosol for 20 minutes daily for 7 consecutive days until asthma-related symptoms appear.
Testing items

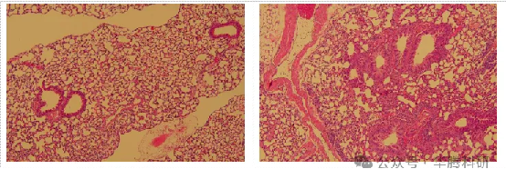
HE staining of lung tissues