The model mimics the pathological state of androgen-induced hair loss by injecting dihydrotestosterone (DHT) in mice.
Model Description
Androgenetic alopecia, also known as male/pattern hair loss, is influenced by genetic factors and androgen hormones. It primarily affects males but can also occur in females, albeit with less severity. This model mimics the pathological state of androgen-induced hair loss by injecting dihydrotestosterone (DHT) in mice.
Modeling Methods
Treatment:
Testing items
The Chart of Skin Color


The Score Based on the Skin Color

The Result of Hair Coverage Rate (%)

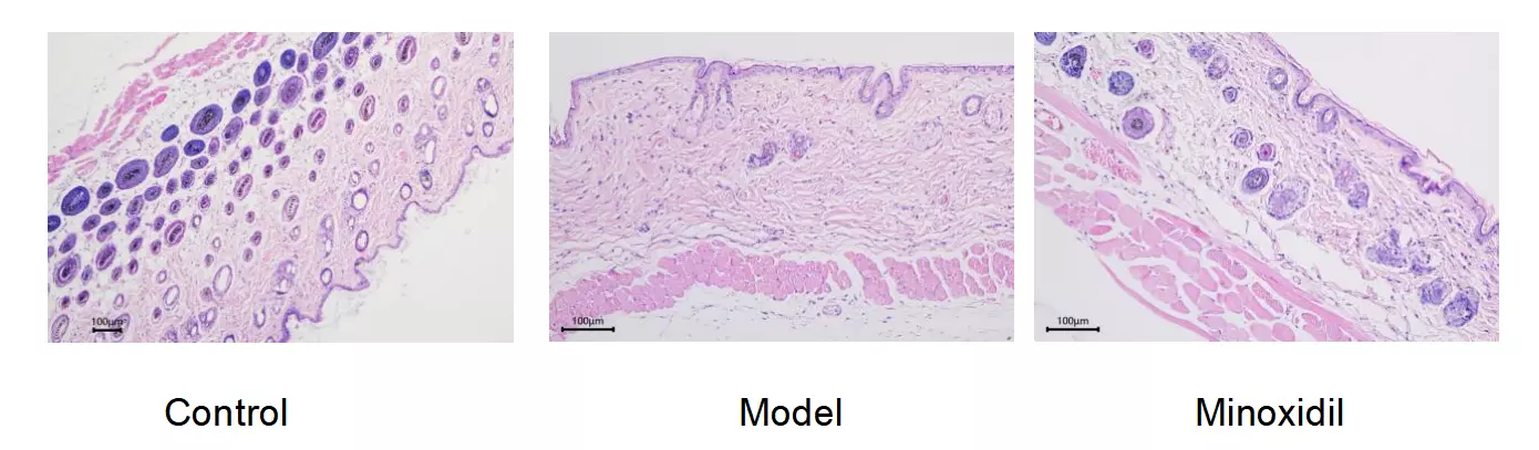
HE Staining(20×)