HuaTeng Biotechnology provides comprehensive heart failure (HF) animal models. Specializing in surgical (MI, TAC) and pharmacological induction in swine and rats. 300+ successful cases for drug and device validation.
Model Description
Heart failure is the end-stage of various cardiovascular diseases. HuaTeng Biotechnology offers a suite of HF models that replicate diverse clinical phenotypes, including HFrEF (induced by MI or Doxorubicin) and HFpEF (induced by hypertension/TAC or metabolic stress), allowing for targeted therapeutic evaluation.
Applications
• Evaluation of novel inotropic agents and diuretics.
• Validation of heart failure medical devices (e.g., VADs, CCM).
• Research on cardiac remodeling, fibrosis, and gene therapies.
• Safety and efficacy testing for regenerative medicine (stem cells).
Modeling Methods
HuaTeng Biotechnology provides multiple induction pathways:
• Surgical Ligation (MI): Permanent ligation of the LAD to induce ischemic cardiomyopathy (HFrEF).
• Pressure Overload (TAC): Transverse Aortic Constriction to induce hypertrophic HF.
• Pharmacological Induction: Chronic Doxorubicin dosing for dilated cardiomyopathy.
• Volume Overload: Aortocaval fistula (ACF) models.
Testing Items
• Cardiac Imaging: High-end Echocardiography (EF, FS, E/A ratio), Cardiac MRI.
• Hemodynamics: Invasive Pressure-Volume (P-V) loops (Gold standard for contractility).
• Biomarkers: Plasma NT-proBNP, ANP, Troponin levels.
• Morphology: Heart weight/Body weight ratio, Lung water content (Edema assessment).
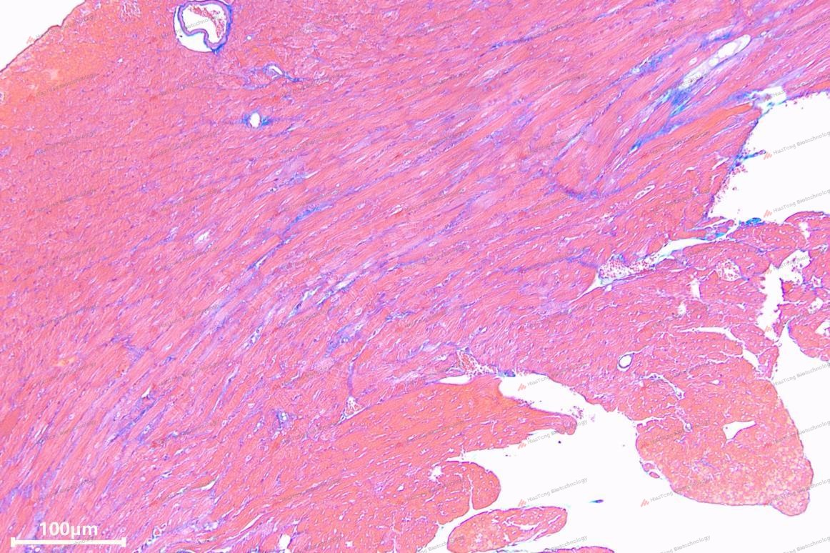
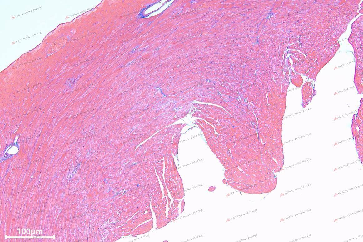
• Histology: Wheat Germ Agglutinin (WGA) staining for myocyte hypertrophy, Masson's for fibrosis.
Data
