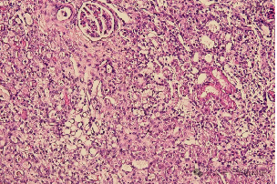
The UUO model, as a model of renal fibrosis, is characterized by interstitial inflammation, excessive production of extracellular matrix, atrophy of renal tubular epithelial cells, and tubulointerstitial transformation.
Model Description
Chronic kidney disease (CKD) is a leading cause of non-communicable disease progression and death. It is characterized by a progressive and irreversible loss of kidney function, leading to complications, organ dysfunction, and potentially premature death.
Renal fibrosis is a common pathological change in CKD, marked by the destruction of normal kidney structure, proliferation of fibroblasts, and excessive deposition of extracellular matrix.
The UUO model, as a model of renal fibrosis, is characterized by interstitial inflammation, excessive production of extracellular matrix, atrophy of renal tubular epithelial cells, and tubulointerstitial transformation.
Modeling Methods
1. Make an incision along the midline of the mouse's abdomen, carefully dissecting through the skin and muscle to enter the abdominal cavity.
2. Use atraumatic forceps or sterile cotton swabs to gently push the intestines to the opposite side, exposing the unilateral ureter.
3. After isolating the ureter, use curved atraumatic forceps to lift the ureter and thread it with 4-0 suture material, performing a double ligature.
4. For the sham group, only isolate the ureter without ligation.
Data



Sham (40x) UUO (40x)